대장 내시경
대장내시경
풍부한 경험과 내시경 의사로서의 자격을 갖춘 의료진, 대학 병원급 내시경 장비, 편안한 내시경 검사를 위한 최신 의료기법 그리고 환자에 대한 정성어린 배려가 함께하는 서울메디투어 건강증진센터의 소화기내시경센터는 언제나 최고를 지행합니다.
▶ 대장내시경은 언제해야 하나요?
대장내시경은 대장과 직장 질환이 의심이 되는 모든 경우에 시행하도록 되어 있습니다. 특히 이유를 알 수 없는 설사, 변비, 복통, 배변습관의 변화가 있을 경우, 혈변을 보았을 경우, 혈연관계가 있는 가족 중에 대장암에 걸린 사람이나 가족성 용종증이 있는 경우에는 반드시 대장내시경을 시행 받아야 합니다.
▶ 대장내시경으로 무엇을 검사하나요?
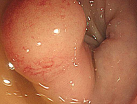
대장내시경은 대장에 발생하는 대부분의 질환을 진단할 수 있는 가장 정확한 검사입니다. 대장내시경 시행하여 대장용종, 대장암, 염증성질환, 허혈성대장염, 감염성대장염, 장결핵 등을 발견할 수 있으며 조직검사를 통하여 확진을 합니다. 대장용종을 발견할 경우 내시경적 용종 제거술로 진단과 동시에 치료를 할 수도 있습니다.
감염성대장염 | 허혈성대장염 | 대장암 |
▶ 증상이 없을 경우에도 대장내시경을 받아야 하나요?
대부분의 대장암은 다른 암처럼 갑작스럽게 발생하지 않으며 선종성 용종의 단계를 거쳐 서서히 암으로 진행합니다. 따라서 대장용종 단계에서 제거할 경우 대장암을 예방할 수 있습니다. 그러나 대장용종은 증상이 없으며 혈변이나 장폐색 등 증상이 나타날 경우에는 이미 대장암으로 진행한 상태일 경우가 많습니다. 따라서 증상이 없어도 대장내시경 검사를 시행하여 대장용종을 발견하고 제거하는 것이 대장암 예방을 위해서 매우 중요합니다.
대장용종 | 용종절제술 | 절제된 대장용종 |
대한소화기학회에서는 증상이 없는 경우에도 40세 이상이면 적어도 1번은 대장내시경을 시행받을 것을 권고하고 있습니다. 또한 대장암 또는 선종성 용종의 가족력, 염증성장질환 등의 고위험군에 해당하는 사람들은 40세 이전에 대장내시경 검사를 받아보는 것이 필요합니다.
▶ 대장내시경은 얼마나 자주 받아야 하나요?
선종성 용종은 3~5년이 지나면 약 5%에서 암으로 변한다고 합니다. 대한소화기학회에서는 초기 대장내시경에서 용종이 없다면 5년마다 1번씩, 선종성 용종이 1cm 이상이거나 여러개 있다면 1년 후에 다시한번 대장내시경을 시행할 것을 권고하고 있으나 아직 확실하게 정해진 바는 없습니다. 그러나 아무리 뛰어난 전문가가 자세히 관찰을 한다고 하더라도 10~20%에서는 존재하는 용종을 발견하지 못한다는 연구 결과를 생각하면 조금 더 자주 대장내시경을 시행하는 것이 안전합니다. 여러가지 연구결과를 종합해 보면 대장내시경에서 선종성 용종이 발견되지 않았다면 3~5년에 1번씩 대장내시경을 시행하고 선종성 용종이 발견되어 제거했다면 1년 후에 다시 한번 대장내시경을 시행해보는 것이 대장암 예방에 효과적이라고 생각됩니다.
▶ 대장내시경은 누구에게 받는 것이 안전할까요?
![]() | ![]() |
대장내시경은 대장질환에 대한 진단 뿐만 아니라 내시경적 용종절제술과 같은 치료도 함께하는 전문적인 시술입니다. 특히 내시경을 하는 의사가 충분한 경험과 숙련된 실력이 있어야 안전하고 빠르게, 통증없이 검사를 마칠 수 있습니다. 대학병원에서 대장내시경에 대해서 체계적으로 교육을 받고 그 경험과 숙련도에 대해 인증을 받은 의사는 소화기내과 전문의입니다. 소화기내과 전문의란 내과전문의 중에서 소화기분과 임상강사 과정을 거친 후 대한내과학회에서 부여하는 소화기내과분과전문의 또는 대한소화기내시경학회에서 부여하는 소화기내시경 세부전문의 인증을 받은 의사들을 뜻합니다. 보다 안전하고 편안한 대장내시경 검사에 대한 믿음이 필요하다면 검사자가 소화기내과 전문의인지를 확인하시는 것이 바람직합니다.
▶ 대장내시경 장비는 모두 같은 것일까요?
![]() | 대장내시경에서 시술자의 실력과 더불어 사용하는 내시경의 성능이 매우 중요합니다. 검사자의 실력이 아무리 좋다고 하여도 과거의 저해상도 내시경으로 보이지 않는 병변은 발견할 수 없는 것이 당연합니다. 과거의 브라운관 TV와 요즘의 HD TV 차이를 생각하시면 쉽습니다. 실제 임상에서도 구형 저해상도 내시경으로 관찰할 수 없는 병변들이 최신 기종의 고해상도 내시경에서 발견되는 경우가 자주 있으며 이러한 최신 고해상도 내시경의 보급은 미세병변 또는 조기 대장암 발견에 큰 역할을 하고 있습니다. 기왕 마음먹고 받는 대장내시경이라면 최고 성능의 내시경으로 받아야 하지 않을까요? |
▶ 대장내시경 전 처치를 위한 설사약은 어떤 것들이 있나요?
대장내시경 전에 장청소를 위하여 사용하는 설사약은 여러가지가 있습니다. 4L나 마셔야 해서 힘들었던 코리트산, 신장손상 가능성이 있어서 최근에는 사용하지 않는 소디움포스페이트 등이 지금까지 주로 사용해왔던 대장내시경 전 처치용 설사약들입니다. 최근에는 2L만 마시는 설사약, 알약으로 된 설사약, 물에 타서 마시는 단맛이 나는 설사약 등이 개발되어 설사약을 힘들게 마셔야 하는 불편함을 최소화하려고 노력하고 있습니다. 여러가지 대장내시경 전 처치 설사약 중 복용이 가장 편하면서 안전한 약제는 "피코라이트"라는 약제라고 알려져 있습니다. 레모네이드 맛이 나는 가루약으로 물에 타서 2컵만 마시면 되므로 복용이 간편합니다. 그러나 다른 설사약에 비해서 장정결도가 떨어지는 단점 때문에 사용을 꺼리는 병원이 많았습니다. 서울메디투어 건강증진센터에서는 새로운 복용법을 고안하여 이러한 단점을 개선한 "쿨프렙"을 사용하여 편안하고 깨끗한 대장내시경을 받을 수 있도록 하였습니다.
![]() | ![]() |
쿨프렙산 복용법 - 오전검사
| 날 짜 | 시 간 | 복용법 |
| 검사 전날 (1차 복용) | 저녁 식사는 저녁 6시 이전까지 반찬 없이 흰죽으로 드세요 | |
| ① 저녁 8시 | 쿨프렙산 A와 B를 500ml 통에 넣은 후 물을 500ml 표시선까지 채운 다음 뚜껑을 닫고 완전히 녹을 때까지 흔든 후 드세요 | |
| ② 저녁 8시 30분 | 쿨프렙산 A와 B를 500ml 통에 넣은 후 물을 500ml 표시선까지 채운 다음 뚜껑을 닫고 완전히 녹을 때까지 흔든 후 드세요 | |
| ③ 저녁 9시 이후 | 물 1L 이상 드세요 | |
| 검사 당일 (2차 복용) | ① 오전 4시 | 쿨프렙산 A와 B를 500ml 통에 넣은 후 물을 500ml 표시선까지 채운 다음 뚜껑을 닫고 완전히 녹을 때까지 흔든 후 드세요 |
| ② 오전 4시 30분 | 쿨프렙산 A와 B를 500ml 통에 넣은 후 물을 500ml 표시선까지 채운 다음 뚜껑을 닫고 완전히 녹을 때까지 흔든 후 드세요 | |
| ③ 오전 4시 30분 ~ 오전 6시 | 물 1L 드세요 | |
| ④ 오전 6시 | 가소콜 2포를 한번에 복용하세요 | |
| ⑤ 오전 6시 이후 | 가소콜 복용 후엔 금식입니다(물도 금지) | |